CEREC

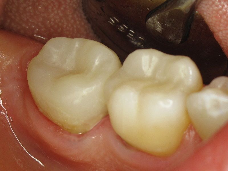
CEREC est une méthode de restauration dentaire, qui permet de produire une reconstruction entièrement en céramique de la forme anatomique des dents en utilisant plusieurs technologies assistées par ordinateur, notamment la photographie 3D, la conception et la fabrication de la couronne.

Cette méthode a été développée par le Professeur W. Mörmann et le Docteur M. Brandestini en 1980 à l'Université de Zürich.

Les premiers patients ont été traités selon cette méthode CEREC, dans cette même université en 1985. Elle allie la technique adhésive à la création ultrarapide d'inlays, d'onlays, de couronnes partielles, de facettes et de couronnes (sans métal) autant frontales que latérales.

Le taux de succès des restaurations CEREC est évalué selon les dernières études cliniques à 95% sur 10 ans et 90% sur 18 ans. Il s'agit donc d'une des meilleures méthodes de soins actuels dans la dentisterie du 21ème siècle.

Le système CEREC évolue en permanence. Il permet aujourd'hui de réaliser des reconstitutions unitaires en céramique type inlay, onlay, couronnes ou facettes, mais également des réalisations temporaires unitaires ou jusqu'à 4 éléments (ponts) en résine.

Le Dr. Rüdiger Hartmann travaille avec le CEREC depuis une vingtaine d'années et a un diplôme de formateur pour ce système. Votre avantage: la réduction considérable du prix provient du fait que le traitement se fait qu'en une séance, il n’y a qu’une anesthésie et  l’empreinte se fait avec une caméra, sans matériau d'empreinte.

CEREC
IMG_2972
IMG_2971
IMG_2965
IMG_2974